Note
Go to the end to download the full example code or to run this example in your browser via Binder.
Model-based iterative reconstruction#
This example demonstrates how to reconstruct image from non-Cartesian k-space data with a regularization prior, using deepinv.
Imports#
import numpy as np
import matplotlib.pyplot as plt
from brainweb_dl import get_mri
from deepinv.optim.prior import WaveletPrior
from deepinv.optim.data_fidelity import L2
from deepinv.optim.optimizers import optim_builder
from mrinufft import get_operator
from mrinufft.trajectories import initialize_3D_cones
import torch
import os
BACKEND = os.environ.get("MRINUFFT_BACKEND", "cufinufft")
Get MRI data, 3D FLORET trajectory, and simulate k-space data
samples_loc = initialize_3D_cones(32 * 32, Ns=256, nb_zigzags=16, width=3)
# Load and downsample MRI data for speed
mri = (
torch.Tensor(np.ascontiguousarray(get_mri(0)[::2, ::2, ::2][::-1, ::-1]))
.to(torch.complex64)
.to("cuda")
)
Simulate k-space data
fourier_op = get_operator(BACKEND)(
samples_loc,
shape=mri.shape,
density="pipe",
)
y = fourier_op.op(mri) # Simulate k-space data
noise_level = y.abs().max().item() * 0.0002
y += noise_level * (torch.randn_like(y) + 1j * torch.randn_like(y))
/volatile/github-ci-mind-inria/gpu_mind_runner/_work/mri-nufft/mri-nufft/src/mrinufft/_utils.py:67: UserWarning: Samples will be rescaled to [-pi, pi), assuming they were in [-0.5, 0.5)
warnings.warn(
/volatile/github-ci-mind-inria/gpu_mind_runner/_work/mri-nufft/mri-nufft/src/mrinufft/_utils.py:72: UserWarning: Samples will be rescaled to [-0.5, 0.5), assuming they were in [-pi, pi)
warnings.warn(
/volatile/github-ci-mind-inria/gpu_mind_runner/_work/mri-nufft/mri-nufft/src/mrinufft/_array_compat.py:248: UserWarning: data is on gpu, it will be moved to CPU.
warnings.warn("data is on gpu, it will be moved to CPU.")
Setup the physics and prior
physics = fourier_op.make_deepinv_phy()
wavelet = WaveletPrior(
wv="sym8",
wvdim=3,
level=3,
is_complex=True,
)
Initial reconstruction with adjoint
x_dagger = physics.A_dagger(y)
0%| | 0/100 [00:00<?, ?it/s]
2%|▏ | 2/100 [00:00<00:05, 17.31it/s]
4%|▍ | 4/100 [00:00<00:05, 17.33it/s]
6%|▌ | 6/100 [00:00<00:05, 17.33it/s]
8%|▊ | 8/100 [00:00<00:05, 17.33it/s]
10%|█ | 10/100 [00:00<00:05, 17.30it/s]
12%|█▏ | 12/100 [00:00<00:05, 17.30it/s]
14%|█▍ | 14/100 [00:00<00:04, 17.26it/s]
16%|█▌ | 16/100 [00:00<00:04, 17.29it/s]
18%|█▊ | 18/100 [00:01<00:04, 17.27it/s]
20%|██ | 20/100 [00:01<00:04, 17.29it/s]
22%|██▏ | 22/100 [00:01<00:04, 17.31it/s]
24%|██▍ | 24/100 [00:01<00:04, 17.32it/s]
26%|██▌ | 26/100 [00:01<00:04, 17.32it/s]
28%|██▊ | 28/100 [00:01<00:05, 14.10it/s]
30%|███ | 30/100 [00:01<00:05, 13.01it/s]
32%|███▏ | 32/100 [00:02<00:05, 11.84it/s]
34%|███▍ | 34/100 [00:02<00:06, 11.00it/s]
36%|███▌ | 36/100 [00:02<00:06, 9.74it/s]
38%|███▊ | 38/100 [00:02<00:06, 9.14it/s]
39%|███▉ | 39/100 [00:02<00:06, 8.91it/s]
40%|████ | 40/100 [00:03<00:07, 8.53it/s]
41%|████ | 41/100 [00:03<00:07, 8.24it/s]
42%|████▏ | 42/100 [00:03<00:07, 8.11it/s]
43%|████▎ | 43/100 [00:03<00:07, 8.07it/s]
44%|████▍ | 44/100 [00:03<00:06, 8.06it/s]
45%|████▌ | 45/100 [00:03<00:06, 8.13it/s]
47%|████▋ | 47/100 [00:03<00:06, 8.57it/s]
48%|████▊ | 48/100 [00:04<00:06, 8.20it/s]
49%|████▉ | 49/100 [00:04<00:06, 7.81it/s]
50%|█████ | 50/100 [00:04<00:06, 7.72it/s]
51%|█████ | 51/100 [00:04<00:06, 7.57it/s]
52%|█████▏ | 52/100 [00:04<00:06, 7.69it/s]
53%|█████▎ | 53/100 [00:04<00:06, 7.44it/s]
54%|█████▍ | 54/100 [00:04<00:06, 7.30it/s]
55%|█████▌ | 55/100 [00:05<00:05, 7.73it/s]
57%|█████▋ | 57/100 [00:05<00:04, 9.20it/s]
59%|█████▉ | 59/100 [00:05<00:04, 10.19it/s]
61%|██████ | 61/100 [00:05<00:03, 11.08it/s]
63%|██████▎ | 63/100 [00:05<00:03, 12.29it/s]
65%|██████▌ | 65/100 [00:05<00:02, 13.52it/s]
67%|██████▋ | 67/100 [00:05<00:02, 14.50it/s]
69%|██████▉ | 69/100 [00:05<00:02, 15.24it/s]
71%|███████ | 71/100 [00:06<00:01, 15.78it/s]
73%|███████▎ | 73/100 [00:06<00:01, 16.18it/s]
75%|███████▌ | 75/100 [00:06<00:01, 16.47it/s]
77%|███████▋ | 77/100 [00:06<00:01, 16.67it/s]
79%|███████▉ | 79/100 [00:06<00:01, 16.81it/s]
81%|████████ | 81/100 [00:06<00:01, 16.92it/s]
83%|████████▎ | 83/100 [00:06<00:01, 13.35it/s]
85%|████████▌ | 85/100 [00:07<00:01, 10.44it/s]
87%|████████▋ | 87/100 [00:07<00:01, 9.23it/s]
89%|████████▉ | 89/100 [00:07<00:01, 8.55it/s]
90%|█████████ | 90/100 [00:07<00:01, 8.43it/s]
91%|█████████ | 91/100 [00:08<00:01, 8.04it/s]
92%|█████████▏| 92/100 [00:08<00:01, 7.99it/s]
93%|█████████▎| 93/100 [00:08<00:00, 7.67it/s]
94%|█████████▍| 94/100 [00:08<00:00, 7.75it/s]
95%|█████████▌| 95/100 [00:08<00:00, 7.47it/s]
96%|█████████▌| 96/100 [00:08<00:00, 7.56it/s]
97%|█████████▋| 97/100 [00:08<00:00, 7.33it/s]
98%|█████████▊| 98/100 [00:08<00:00, 7.43it/s]
99%|█████████▉| 99/100 [00:09<00:00, 7.26it/s]
100%|██████████| 100/100 [00:09<00:00, 7.28it/s]
100%|██████████| 100/100 [00:09<00:00, 10.82it/s]
Setup and run the reconstruction algorithm Data fidelity term
data_fidelity = L2()
# Algorithm parameters
lamb = 1e1
stepsize = 0.8 * float(1 / fourier_op.get_lipschitz_cst().get())
params_algo = {"stepsize": stepsize, "lambda": lamb, "a": 3}
max_iter = 100
early_stop = True
/volatile/github-ci-mind-inria/gpu_mind_runner/_work/mri-nufft/mri-nufft/src/mrinufft/operators/base.py:1075: UserWarning: Lipschitz constant did not converge
warnings.warn("Lipschitz constant did not converge")
Instantiate the algorithm class to solve the problem.
wavelet_recon = optim_builder(
iteration="FISTA",
prior=wavelet,
data_fidelity=data_fidelity,
early_stop=early_stop,
max_iter=max_iter,
params_algo=params_algo,
)
x_wavelet = wavelet_recon(y, physics)
/volatile/github-ci-mind-inria/gpu_mind_runner/_work/mri-nufft/mri-nufft/.venv/lib/python3.10/site-packages/cufinufft/_plan.py:402: UserWarning: Argument `data` does not satisfy the following requirement: C. Copying array (this may reduce performance)
warnings.warn(f"Argument `{name}` does not satisfy the "
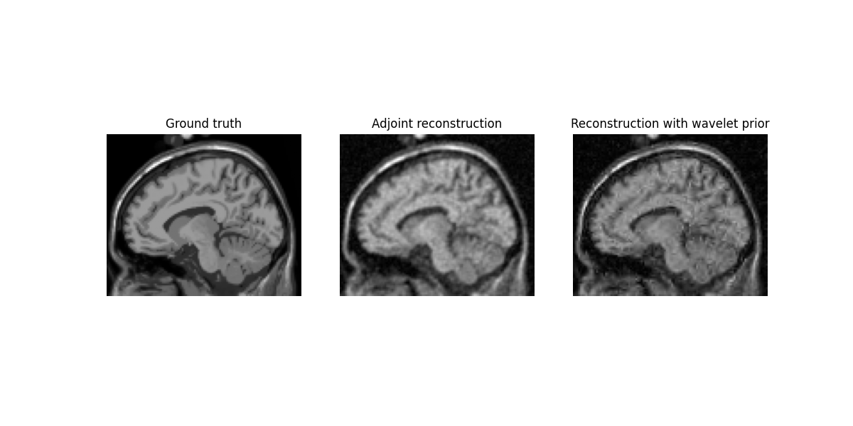
Display results
plt.figure(figsize=(12, 6))
plt.subplot(1, 3, 1)
plt.imshow(torch.abs(mri[..., mri.shape[2] // 2 - 5]).cpu(), cmap="gray")
plt.title("Ground truth")
plt.axis("off")
plt.subplot(1, 3, 2)
plt.imshow(
torch.abs(x_dagger[0, 0, ..., x_dagger.shape[2] // 2 - 5]).cpu(), cmap="gray"
)
plt.title("Adjoint reconstruction")
plt.axis("off")
plt.subplot(1, 3, 3)
plt.imshow(
torch.abs(x_wavelet[0, 0, ..., x_wavelet.shape[2] // 2 - 5]).cpu(), cmap="gray"
)
plt.title("Reconstruction with wavelet prior")
plt.axis("off")
plt.show()

Total running time of the script: (3 minutes 56.023 seconds)